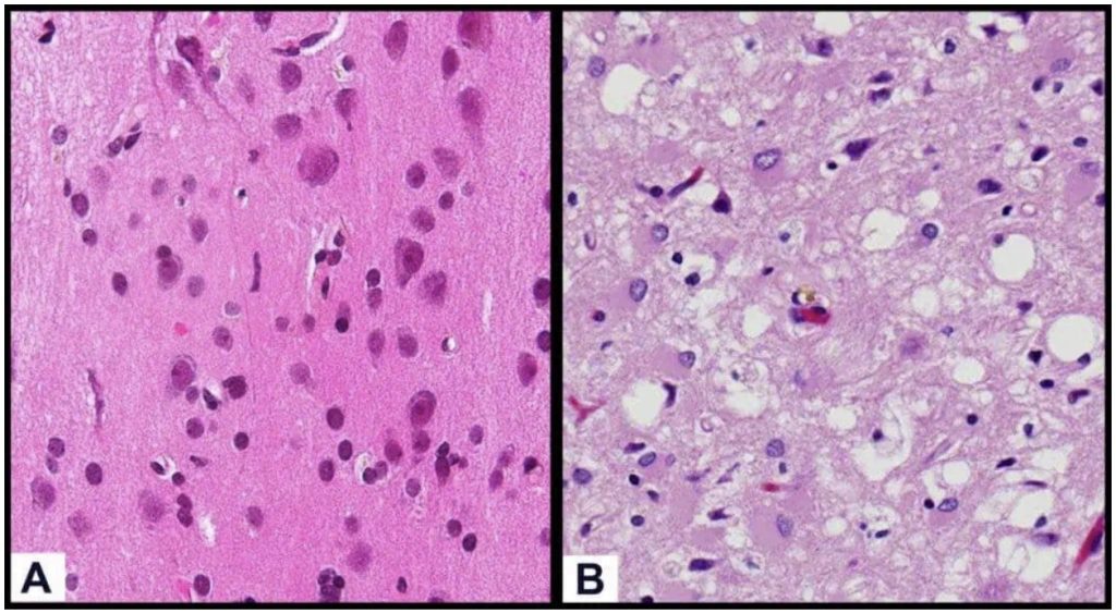
An incurable disease that deteriorates the brain at a rapid pace and leads to the inevitable fatality of its victim seems like something out of a nightmare. Creutzfeldt-Jakob Disease (CJD) is a rare degenerative brain disorder belonging to a group of transmissible spongiform encephalopathies, a group of prion diseases that cause tiny holes in the brain, similar to the appearance of a sponge, as seen in Figure 1 (National Institute of Neurological Disorders and Stroke, 2023). CJD affects one out of a million people per year that are around the age of 60, the same rate that lightning strikes humans (Sitammagari and Masood, 2023).

There are three types of CJD: sporadic, hereditary, and acquired (Appleby and Manuelidis, 2023). The first is the most common type and accounts for 85% of CJD cases without any recognizable cause. The second is when there is a gene mutation in a family that gets passed on, meaning if a parent has it, their child has a chance of acquiring it as well (Appleby and Manuelidis, 2023). This mutation that gets passed on is in the prion protein (PRNP) gene that codes for the prion protein (Bregman et al., 2023). The last, and least common, is transmittance of the disease through exposure, likely through medical procedures with inadequately sterilized electrodes that are attached to the brain. Additionally, it has been shown to be transmitted through Bovine Spongiform Encephalopathy-effected cattle meat consumption, also known as Mad Cow Disease (Appleby and Manuelidis, 2023).
Looking at the cellular level, the brain contains cellular prion proteins (PrPC) that are found in neuronal cells and is bound to the surface of neuronal cells by a glycophosphatidyl inositol anchor (Cohen et al., 1994). The glycophosphatidyl inositol anchors are essentially lipid molecules that allow proteins to bind to the cell’s surface (Kinoshita, 2016). The infectious isoform/misfolded form of PrPC is coined the term scrapie PrP (PrPSc). As seen in Figure 2, structurally the two prions differ because PrPC contains no beta sheet secondary protein structure and only has alpha helices, while PrPSc contains more beta pleated sheets than alpha helices. The presence of PrPSc in the brain causes a conformational change in PrPC and causes it to change shape from alpha helical to beta pleated sheets, resulting in even more formation of PrPSc (Harrington, Abbott and Quinn, 2021). In fact, based on studies on transgenic mice, this conversion from PrPC to PrPSc is more efficient when the amino acid sequences of these prions are identical (Cohen et al., 1994). The insolubility of PrPSc would make this process irreversible and this aggregation of PrPSc is what leads to CDJ. CDJ then causes some biological symptoms like impaired cognitive processes like thinking, memory, and judgment, insomnia, lack of coordination, and eventually loss of ability to move or speak and finally death (Appleby and Manuelidis, 2023).

Unfortunately, this disease has also made its way into the psychiatric realm. CJD is also known to cause depression in those affected by it (Liang et al., 2019). Unfortunately, taking antidepressants to help alleviate this mental pain is a risk considering use of antidepressants leads to a shorter survival time in patients with sporadic CJD. This accelerated deterioration is likely due to the antidepressants’ alteration of neurotransmitter levels in the brain (Liang et al., 2019). In fact, taking antidepressants generally fails to alleviate any depressive symptoms in sporadic CJD patients so there really is no solution for CJD depression. Other psychiatric presentations of CJD include paranoid delusions, disorganized behavior, social withdrawal, visual hallucinations, and disorganized thought processes (Harrington, Abbott and Quinn, 2021). This is a clear indication that psychiatrists should keep their guards up and be on alert for CJD since this disease is just as mentally agonizing as it is physically.
All in all, finding a cure for this rare disease with a 100% mortality rate might seem daunting but presently, there has been advancement in the discovery of treatment of CJD, the antibody PRN100 developed by researchers at the NIHR UCLH Biomedical Research Centre (National Institute for Health and Care Research, 2022). This antibody safely accesses the brain, presents no symptoms, and has potential for stabilization of disease progression. So, there is hope and further investigation into CJD is warranted. Until then, one could only hope that they never find themselves afflicted by this neurodegenerative nightmare and that one day a cure makes itself known.
References
Appleby, B. and Manuelidis, L., 2023. Creutzfeldt-Jakob Disease. [online] National Institute of Neurological Disorders and Stroke. Available at: <https://www.ninds.nih.gov/health-information/disorders/creutzfeldt-jakob-disease> [Accessed 29 December 2023].
Bregman, N., Shiner, T., Kavé, G., Alcalay, R., Gana-Weisz, M., Goldstein, O., Glinka, T., Aizenstein, O., Bashat, D.B., Alcalay, Y., Mirelman, A., Thaler, A., Giladi, N. and Omer, N., 2023. The natural history study of preclinical genetic Creutzfeldt-Jakob Disease (CJD): a prospective longitudinal study protocol. BMC Neurology, 23(1), p.151. https://doi.org/10.1186/s12883-023-03193-8.
Cohen, F.E., Pan, K.-M., Huang, Z., Baldwin, M., Fletterick, R.J. and Prusiner, S.B., 1994. Structural Clues to Prion Replication. Science, 264(5158), pp.530–531. https://doi.org/10.1126/science.7909169.
Gordon, Z., 2018. What are prions — the confusing protein. [online] ZME Science. Available at: <https://www.zmescience.com/feature-post/health/diseases-and-conditions/prions-the-charismatic-proteins/> [Accessed 10 March 2024].
Harrington, K., Abbott, C.C. and Quinn, D., 2021. Psychiatric Presentations of Creutzfeldt-Jakob Disease: A Case Report. Journal of the Academy of Consultation-Liaison Psychiatry, 62(2), pp.248–252. https://doi.org/10.1016/j.jaclp.2021.01.006.
Kinoshita, T., 2016. Glycosylphosphatidylinositol (GPI) Anchors: Biochemistry and Cell Biology: Introduction to a Thematic Review Series. Journal of Lipid Research, 57(1), pp.4–5. https://doi.org/10.1194/jlr.E065417.
Liang, Y., Li, Y., Wang, H., Cheng, X., Guan, M., Zhong, S. and Zhao, C., 2019. Does the Use of Antidepressants Accelerate the Disease Progress in Creutzfeldt–Jakob Disease Patients With Depression? A Case Report and A Systematic Review. Frontiers in Psychiatry, 10, p.297. https://doi.org/10.3389/fpsyt.2019.00297.
Mayo Clinic, 2023. Creutzfeldt-Jakob disease. [online] Mayo Clinic. Available at: <https://www.mayoclinic.org/diseases-conditions/creutzfeldt-jakob-disease/symptoms-causes/syc-20371226> [Accessed 29 December 2023].
National Institute for Health and Care Research, 2022. World-first treatment for CJD shows promising early results. [online] National Institute for Health and Care Research. Available at: <https://www.nihr.ac.uk/news/world-first-treatment-for-cjd-shows-promising-early-results/30248> [Accessed 4 March 2024].
National Institute of Neurological Disorders and Stroke, 2023. Transmissible Spongiform Encephalopathies. [online] National Institute of Neurological Disorders and Stroke. Available at: <https://www.ninds.nih.gov/health-information/disorders/transmissible-spongiform-encephalopathies> [Accessed 4 March 2024].
Sitammagari, K.K. and Masood, W., 2023. Creutzfeldt Jakob Disease. In: StatPearls. [online] Treasure Island (FL): StatPearls Publishing. Available at: <http://www.ncbi.nlm.nih.gov/books/NBK507860/> [Accessed 29 December 2023].